Nhằm đảm bảo nhu cầu điều trị và dự trữ máu cho cấp cứu, điều trị bệnh trong những ngày đầu năm 2026, Sở Y tế TP Cần Thơ phát động “Tuần lễ hiến máu tình nguyện ngành Y tế Cần Thơ”.
-
Những hình thức tập luyện tốt cho thai phụ
Một nghiên cứu được đăng tải trên tạp chí Tâm lý học và Sức khỏe (Anh) gần đây cho biết tập luyện trong khi mang thai có thể cung cấp cho bạn nhiều năng lượng, giúp tăng cường cơ bắp, hạn chế tăng cân, xua tan chứng mất ngủ, giảm nguy cơ đối mặt với các biến chứng nguy hiểm, giúp cải thiện tâm trạng và đặc biệt là tác động tích cực đến thai nhi. Do đó, các chuyên gia khuyên thai phụ nên thường xuyên tập luyện, đặc biệt là 5 hình thức dưới đây.
-
Sắp có vắc-xin chống mọi loại cúm
-
Tiêm nước muối giúp điều trị đau lưng dưới tốt hơn steroid
-
Phát hiện hoạt chất ảnh hưởng khả năng sinh sản
-
Mô phỏng hệ thống nội tạng với công nghệ in 3D
-
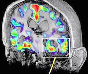
Kỹ thuật quét não mới phát hiện sớm tác nhân gây bệnh Alzheimer
-
Thiết bị điện tử giúp ích cho người mắc chứng khó đọc
-
Những tinh dầu nên có trong tủ thuốc
Những loại tinh dầu vừa có cả hai đặc tính làm đẹp và chữa bệnh là một phần không thể thiếu trong một tủ thuốc bao gồm các thảo dược, điển hình là 5 loại tinh dầu dưới đây.
-
6 loại thực phẩm giúp cơ thể săn chắc
1. Trứng
-
Ứng dụng công nghệ cảm biến chăm sóc người cao tuổi
Hệ thống Abilia giám sát bệnh nhân cao tuổi tại nhà
-
Dùng Revolv điều khiển cả ngôi nhà từ xa
-
“Siêu cỏ” giúp giảm khí thải nông nghiệp
-
Hiến máu mang đến lợi ích cho cộng đồng và cá nhân

- Review đai lưng bảo vệ cột sống của thương hiệu Haruco
- Điểm sáng ứng dụng công nghệ hiện đại trong chẩn đoán hình ảnh và xét nghiệm của y tế Cần Thơ
- Tất cả các cơ sở y tế đều tư vấn, xét nghiệm HIV, viêm gan B và giang mai cho phụ nữ mang thai
- Sở Y tế TP Cần Thơ thẩm định cấp phép hoạt động cho Phòng khám Đa khoa Hòa Hảo - Long Mỹ
- Buồng trứng đa nang có tự khỏi được không? Hiểu đúng sẽ giúp bạn vượt qua hội chứng này
- Chia sẻ kinh nghiệm dự phòng lây truyền HIV, giang mai và viêm gan B từ mẹ sang con
- Mổ 2 giai đoạn điều trị bệnh rò đại tràng sigma - bàng quang phức tạp
- Đẩy mạnh dự phòng HIV, giang mai và viêm gan B ở trạm y tế
- Cảnh báo về loại ma túy cực độc fentanyl, độc tính cao gấp 50 lần so với heroine
-
Các bệnh viện ở Cần Thơ diễn tập báo động đỏ ngoại viện

- Báo động xu hướng gia tăng ca bệnh sốt xuất huyết nặng tại ĐBSCL
- Tiếp nối hành trình trong chuỗi Chăm sóc sức khỏe cộng đồng của Bệnh viện Quốc tế Phương Châu Sóc Trăng
- Cập nhật những tiến bộ mới trong phẫu thuật và can thiệp cấp cứu bệnh lý động mạch chủ
- Cảnh báo về loại ma túy cực độc fentanyl, độc tính cao gấp 50 lần so với heroine
- 6 nhiệm vụ trọng tâm nâng cao chất lượng chăm sóc sức khỏe nhân dân Cần Thơ theo Nghị quyết 72/NQ-TW
- Mổ 2 giai đoạn điều trị bệnh rò đại tràng sigma - bàng quang phức tạp
- Fucoidan Care - Giải pháp chăm sóc sức khỏe từ Fucoidan tinh khiết Nhật Bản
- Sở Y tế TP Cần Thơ thẩm định cấp phép hoạt động cho Phòng khám Đa khoa Hòa Hảo - Long Mỹ
- Tác hại của ăn một mình đối với người cao tuổi
