Nghiên cứu mới đăng trên tạp chí khoa học Nature Communications chứng minh các “tổ hợp” vi khuẩn khác nhau trong sữa mẹ có thể góp phần hình thành hệ vi sinh đường ruột ở trẻ sơ sinh.
-
Nhận diện 5 chứng viêm khớp phổ biến
Không chỉ ảnh hưởng về kinh tế, bệnh viêm khớp còn cản trở họ tập thể dục đầy đủ và làm giảm đáng kể chất lượng sống. Đó là lý do mọi người cần sớm nhận biết triệu chứng của 5 dạng viêm khớp phổ biến để kịp thời tham vấn ý kiến bác sĩ và có hướng điều trị hiệu quả.
-
Tầm soát phát hiện sớm 2 loại ung thư phổ biến nhất ở phụ nữ
Theo giới chuyên môn, ung thư (UT) vú và cổ tử cung (CTC) là loại UT phổ biến hàng đầu ở phụ nữ Việt Nam.
-
Nghiên cứu xác nhận tế bào gốc từ dây rốn có thể điều trị suy tim
Hiện có gần 37 triệu người trên thế giới bị ảnh hưởng bởi suy tim – tình trạng cơ tim không còn bơm máu hiệu quả. Bất chấp những tiến bộ của y học, các báo cáo cho biết 50% bệnh nhân suy tim sẽ tử vong trong vòng 5 năm sau khi chẩn đoán.
-
Tại sao không nên mổ bắt con trước thời hạn?
Câu trả lời là vì so với trẻ sinh đủ ngày đủ tháng, trẻ chào đời bằng phương pháp sinh mổ trước thời gian dự sinh tự nhiên có nguy cơ gặp các vấn đề sức khỏe về tim và phổi cao hơn tới 57%.
-
FDA phê chuẩn hệ thống theo dõi đường huyết liên tục
Cơ quan Quản lý Thực phẩm và Dược phẩm Mỹ (FDA) vừa cấp phép lưu hành hệ thống theo dõi lượng đường trong máu liên tục, cho phép bệnh nhân tiểu đường giám sát đường huyết mà không cần trích máu ngón tay đau đớn.
-
5 thay đổi sức khỏe quan trọng có thể phát hiện qua xét nghiệm máu
Nhiều căn bệnh ẩn giấu trong cơ thể qua thời gian dài, thậm chí không biểu lộ triệu chứng ngay cả khi nó bộc phát và cần đến sự can thiệp y khoa. Nhưng xét nghiệm máu thường xuyên giúp chúng ta nhận biết những thay đổi quan trọng của sức khỏe một cách từ từ, nhờ đó có thể cải thiện lối sống hoặc can thiệp sớm để bảo vệ bản thân.
-
Trẻ ngủ ít dễ thừa cân hoặc béo phì
Cảnh báo trên được các nhà khoa học Đan Mạch đưa ra sau khi theo dõi đặc điểm giấc ngủ của 385 trẻ em từ 2-6 tuổi cân nặng bình thường nhưng có nhiều yếu tố nguy cơ béo phì
-
Trạng thái tinh thần tốt tăng hiệu quả vắc-xin
Các nhà khoa học Anh cho rằng giữ trạng thái tinh thần tốt trong ngày tiêm vắc-xin cúm có thể giúp tăng hiệu quả bảo vệ của thuốc.
-
Miếng dán chữa thương 2 trong 1
Thuốc giảm sẹo thường can thiệp vào quá trình lành tự nhiên của vết thương, nhưng sản phẩm mới của các nhà khoa học ở Singapore vừa đẩy nhanh tốc độ chữa lành vừa giảm hình thành sẹo.
-
Vì sao trẻ bị ngược đãi dễ bị rối loạn tâm thần?
Lần đầu tiên, các nhà khoa học Canada phát hiện mối liên hệ giữa tình trạng bị ngược đãi lúc nhỏ với sự thay đổi về cấu trúc não bộ, dẫn đến gia tăng nguy cơ mắc các chứng rối loạn tâm thần khi trưởng thành.
-
Xét nghiệm nhanh chất gây nghiện qua dấu vân tay
Các nhà nghiên cứu tại Đại học Surrey (Anh) vừa phát triển thành công một phương pháp xét nghiệm cocaine bằng dấu vân tay mới có thể cho kết quả tức thì, hứa hẹn giúp ích cho cảnh sát,
-
Xác định được nguyên nhân mất xương ở người cao tuổi
Các chuyên gia tại Đại học Alabama (Mỹ) mới đây đã xác định được cơ chế khiến cơ thể ngừng tạo ra các tế bào xương do tuổi tác.
-
Các ứng dụng trên điện thoại thông minh có thể trị trầm cảm
Một nghiên cứu gần đây do các nhà khoa học quốc tế tiến hành cho thấy, các ứng dụng trên điện thoại thông minh có thể là một phương pháp điều trị hiệu quả chứng bệnh trầm cảm
-
Hẹp động mạch cảnh – “sát thủ” thầm lặng gây tai biến mạch máu não
Hẹp động mạch cảnh là một trong những nguyên nhân thầm lặng gây tai biến mạch máu não, bệnh nhân bị tàn phế hoặc tử vong. Qua thực tế khám chữa bệnh, thạc sĩ – bác sĩ BV Trường Đại học Y dược Cần Thơ chia sẻ nhiều thông tin hữu ích về bệnh lý này.
-
Thành thật giúp chúng ta khỏe mạnh và hạnh phúc hơn
Lợi ích bất ngờ nói trên từ việc nói thật vừa được chứng thực sau khi các nhà khoa học ở Phòng thí nghiệm Cảm xúc Đại học San Diego (Mỹ) phát hiện rằng, việc nói dối – dù là mục đích tốt
-
Giấc ngủ là yếu tố quan trọng nhất với sức khỏe
Giới khoa học từ lâu khẳng định mất ngủ gây ra những tác động bất lợi đối với sức khỏe tổng thể và có thể làm tăng nguy cơ bệnh tật.
-
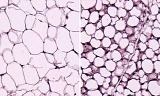
Phương pháp mới chuyển hóa mỡ giúp chữa béo phì
Theo nghiên cứu đăng trên tạp chí Mỹ Cell Reports, các nhà khoa học nước này cho biết họ đã tìm ra cách chuyển hóa mỡ trắng có hại thành mỡ nâu có lợi, mở ra hy vọng phát triển các phương pháp mới điều trị chứng béo phì.
-
Can thiệp thành công cho bệnh nhi mắc hội chứng Cushing hiếm gặp
Ngày 19-9, Bác sĩ Trần Thị Hương, Phó Trưởng Khoa Thận – Nội tiết, Bệnh viện Nhi đồng 1, Thành phố Hồ Chí Minh cho biết: Đơn vị này vừa can thiệp thành công cho một bệnh nhi mắc bệnh lý tăng sinh tuyến thượng thận gây hội chứng Cushing. Theo y văn, đây là bệnh lý hiếm gặp, thống kê mới chỉ hơn 20 trường hợp trên thế giới mắc hội chứng này.
-
Thiếu “vitamin ánh nắng” làm tăng nguy cơ phát triển bệnh đa xơ cứng
Phụ nữ với hàm lượng vitamin D thấp có nguy cơ phát triển bệnh đa xơ cứng (MS) cao hơn 43%, nghiên cứu của các nhà khoa học tại Trường Y tế Công cộng Harvard T.H. Chan cảnh báo.
-
Sàng lọc và phát hiện sớm 3 loại ung thư
(CT)- Sáng 16-9-2017, tại Bệnh viện Ung bướu TP Cần Thơ diễn ra chương trình khám sàng lọc và phát hiện sớm 3 bệnh ung thư (UT): vú, cổ tử cung và đại trực tràng.
-
Sữa mẹ - nền tảng gầy dựng hệ vi sinh đường ruột khỏe mạnh cho trẻ

- Lần đầu tiên Hàn Quốc chuyển giao công nghệ thực tế ảo, hỗ trợ bác sĩ Cần Thơ khám chữa bệnh
- Thời điểm thích hợp để nhổ răng khôn
- Bộ Y tế công nhận Bệnh viện Đa khoa TP Cần Thơ đủ điều kiện ghép thận
- Đại hội lần thứ XIV của Đảng: Hướng tới nền y tế hiện đại, lấy người bệnh làm trung tâm
- Phát triển xứng tầm trung tâm y tế ĐBSCL
- Điều trị sỏi thận không phẫu thuật, xuất viện trong ngày
- 6 giải pháp trọng tâm bảo vệ và nâng cao sức khỏe nhân dân Cần Thơ
- Rối loạn nhịp sinh học làm tăng nguy cơ mất trí nhớ
- Thực hiện kỹ thuật khó nhất, phẫu thuật thành công cho bệnh nhân gãy xương ổ cối nghiêm trọng
-
Hành trình khám sức khỏe cộng đồng cùng Phương Châu Sóc Trăng tại Trạm y tế xã Đại Hải

- [INFOGRAPHICS] Sử dụng, chứa chấp thuốc lá điện tử có thể bị phạt đến 10 triệu đồng
- Điều trị hiệu quả các bệnh xương khớp tại Trung tâm Y tế khu vực Thốt Nốt
- Dinh dưỡng đối với bệnh nhân phẫu thuật
- Bộ Y tế công nhận Bệnh viện Đa khoa TP Cần Thơ đủ điều kiện ghép thận
- Tin lời đồn chích lể để thải độc, bệnh nhân ở Vĩnh Long nhập viện cấp cứu gấp
- Vi khuẩn trong khoang miệng có thể gây bệnh Parkinson
- Cơ sở 3 Bệnh viện Ung bướu TP Cần Thơ vận hành bước đầu ổn định
- Giữ sức khỏe cho người cao tuổi ngày cận Tết
- 6 giải pháp trọng tâm bảo vệ và nâng cao sức khỏe nhân dân Cần Thơ
-
[INFOGRAPHICS] Những điều cần biết về màng bọc PE và PVC để sử dụng an toàn
-
Vinmec Cần Thơ phẫu thuật thành công ca sa sinh dục phức tạp ở bệnh nhân cao tuổi
-
Chăm sóc tinh thần và làm mới tâm trí với 9 mẹo đơn giản
-
Vingroup phối hợp cùng Bộ Y tế triển khai chuỗi tập huấn sơ cấp cứu cộng đồng, gia tăng cơ hội sống cho người bệnh
-
7 bí quyết giúp trẻ lâu
