29/05/2013 - 15:37

Sắc vóc biểu thị cả lối sống lẫn tình trạng sức khỏe

(Tiếp theo và hết)

* MIỆNG

+ Nứt khóe môi: Chế độ ăn thiếu rau xanh

Theo tư vấn của Tiến sĩ da liễu Tabi Leslie, các vết nứt ở khóe miệng có thể là dấu hiệu bạn bị thiếu hụt vitamin B, một dưỡng chất có đặc tính chống viêm, dẫn tới tình trạng nứt và đau rát nơi khóe môi. Theo chuyên gia này, vitamin B có trong đậu Hà Lan và các loại ngũ cốc nguyên hạt trong khi vitamin C có nhiều trong cam, ớt đỏ.

 

+Răng mòn dần: Bị căng thẳng tinh thần (stress), dùng thực phẩm béo và nhiều gia vị

Tiến sĩ nha khoa Ben Atkins tại Manchester (Anh) cho biết: “Tuổi răng của một người khác xa so với tuổi đời của họ”. Stress dễ khiến người ta nghiến răng vào ban đêm hoặc cắn chặt răng vào ban ngày, làm răng mòn dần. “Thường thì người bệnh không nhận thấy họ có thói quen này. Tôi từng chứng kiến trường hợp mà bệnh nhân tự “mài mòn” từ 50-80% răng do thói quen vô thức này, khiến chiều dài gương mặt bị thu nhỏ lại” - ông Atkins giải thích thêm.

Ngoài ra, tình trạng dư thừa axít trong bao tử do thói quen ăn nhiều chất béo hoặc uống nhiều bia rượu cũng có thể làm răng hao mòn. Nguyên do là khi ăn các thực phẩm nhiều gia vị và chứa nhiều chất béo, bao tử sẽ sản xuất ra nhiều axít hơn. Do đó, nếu bản thân bạn đã mắc chứng trào ngược axít thì chúng có thể dội ngược lên thực quản vào khoang miệng và hủy hoại răng.

+ Nướu tái nhợt và giựt mép: Hút thuốc lá

Nguyên nhân gây sâu răng thường là do dùng thức ăn vặt nhiều đường, nhưng các bệnh về nướu thường có liên quan mạnh mẽ với thói quen hút thuốc lá - Tiến sĩ Atkins khẳng định. “Những tổn thương từ hành vi hút thuốc tới hoạt động cung cấp máu đến nướu răng có thể là nguyên nhân khiến nướu teo lại, trở nên nhợt nhạt và chai cứng” - Atkins cho biết.

* MẮT

+Thường chảy nước mắt sống: Sử dụng máy vi tính quá lâu, thiếu ngủ.

Điều khó tin là tình trạng hay chảy nước mắt sống là dấu hiệu “mách lẻo” cho thấy mắt bạn đang bị khô nước. “Lý do là các tuyến lệ phản ứng lại tình trạng khô mắt bằng cách tạo ra nhiều nước mắt hơn mức cần thiết” - chuyên gia đo thị lực Shamina Asif giải thích. Thông thường, chảy nước mắt sống là do chúng ta nhìn quá lâu vào màn hình máy tính. “Khi tập trung vào màn hình, bạn thường ít chớp mắt, trong khi hành động này có chức năng là để tạo ra nước mắt và bôi trơn cho mắt. Thiếu ngủ cũng khiến mắt bị khô do khi ngủ, mắt tự phục hồi và sản sinh ra nước mắt” – cô Asif giải thích.

Lời khuyên: bạn phải có thời gian giải lao trong khi sử dụng máy vi tính, đừng quên chớp mắt thường xuyên và uống nhiều nước để khỏi bị mất nước.

+ Quầng thâm: Ăn chay, thiếu ngủ

Cơ thể thiếu chất sắt (hay thiếu máu) có thể là nguyên nhân làm xuất hiện quầng thâm dưới mắt, Tiến sĩ Aamer Khan cho biết. Tình trạng này thường xuất hiện ở những người ăn chay, do họ kiêng ăn thịt động vật trong khi đây là nguồn bổ sung chất sắt chủ yếu. Chất sắt rất cần thiết cho việc tái tạo mô tế bào, nên thiếu hụt chất sắt cũng làm chậm quá trình tạo ra da mới, khiến khuôn mặt trông xanh xao và hình thành vùng da tối màu dưới mắt.

Bên cạnh đó, việc quá mệt mỏi do thiếu ngủ cũng khiến các mạch máu ở vùng da này bị giãn ra làm xuất hiện quầng thâm.

 

+ Vòng tròn quanh tròng đen và các cục u trong mí mắt: ăn nhiều chất béo

Vòng tròn màu trắng đục quanh tròng đen, hoặc những khối u nhỏ xíu màu vàng ở mí mắt, còn gọi là ban vàng, thường là dấu hiệu của tình trạng mỡ trong máu (cholesterol) cao, có liên quan đến chế độ ăn nhiều chất béo. Theo đó, lượng cholesterol thừa tích tụ xung quanh mắt vì nơi đây có nguồn cung máu dồi dào. “Các nghiên cứu cho thấy những người có hai dấu hiệu trên có nguy cơ cao mắc bệnh tim mạch”, cô Asif cảnh báo.

 

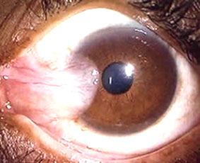
+ Mộng thịt trong mắt: không bảo vệ mắt hợp lý

Thói quen không che chắn mắt trước ánh sáng Mặt trời làm tăng nguy cơ mắc bệnh nổi mộng thịt trong mắt. Nó trông như một đốm mỡ màu trắng ngà nổi trên bề mặt nhãn cầu và phát triển từ khóe mắt ở phía sống mũi lan ra tròng đen. Mộng thịt có thể phát triển chậm hoặc nhanh và có thể ảnh hưởng đến thị lực.

Tiến sĩ Shamina Asif cho biết bệnh nổi mộng thịt trong mắt khá thông dụng, mà tia cực tím (UV) trong ánh nắng chính là một trong những nhân tố chính gây bệnh. Do đó, việc đeo kính mát có ý nghĩa quan trọng trong việc phòng tránh bệnh cũng như ngăn bệnh trở nặng. Ngoài ra, phẫu thuật tách bỏ mộng thịt bằng cách gây tê cục bộ là giải pháp thường được các bác sĩ áp dụng để giúp bệnh nhân giải phóng tầm nhìn, nếu nó phát triển quá lớn.

NGUYỆT CÁT (Theo Daily Mail)

 

Chia sẻ bài viết