18/03/2026 - 16:49
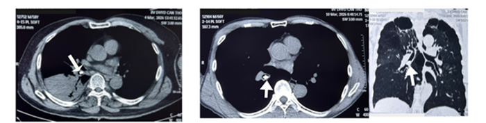
Gắp thành công 2 trường hợp dị vật phế quản bằng nội soi phế quản ống mềm tại Bệnh viện Trường Đại học Y Dược Cần Thơ
-
TP Cần Thơ: Từ ngày 1 đến 7-6, đưa trẻ đến trạm y tế uống vitamin A

- Ngày Thế giới không thuốc lá: Chất độc núp bóng
- “Tuổi trẻ ngành Y tế Việt Nam tăng cường bảo vệ, chăm sóc và nâng cao sức khỏe nhân dân”
- Quản lý toàn diện đường vào mạch máu trong thận nhân tạo
- Phát hiện hơn 5.700 cơ sở vi phạm an toàn thực phẩm, chuyển cơ quan điều tra 17 vụ
- Bệnh viện Đại học Nam Cần Thơ kỷ niệm 4 năm thành lập
- Bệnh viện Phụ sản TP Cần Thơ chuyển giao kỹ thuật thụ tinh trong ống nghiệm cho Bệnh viện Sản - Nhi An Giang
- Bệnh viện Đa khoa Hòa Hảo - Medic Cần Thơ đạt 4,67 điểm theo Bộ tiêu chí cải tiến chất lượng bệnh viện
- Bác sĩ cảnh báo: Dấu hiệu rong kinh ở phụ nữ trung niên ẩn chứa nhiều bệnh lý nguy hiểm
- Cập nhật hướng dẫn mới nhất của Bộ Y tế về chẩn đoán và điều trị bệnh Ebola
-
Ê-kíp thầy thuốc Bệnh viện Quân y 121 cấp cứu thành công sản phụ mang thai 38 tuần bị rắn hổ mang cắn

- Bệnh viện Sản - Nhi Sóc Trăng cấp cứu thành công sản phụ bị nhau cài răng lược
- Bệnh viện Đa khoa TP Cần Thơ can thiệp thành công cho 2 người lớn mắc bệnh tim bẩm sinh phức tạp
- Y tế cơ sở phải chủ động, quyết liệt hơn nữa, để người dân thực sự được hưởng lợi từ những tiến bộ của y tế thông minh
- Bệnh viện Đa khoa Hòa Hảo - Medic Cần Thơ đạt 4,67 điểm theo Bộ tiêu chí cải tiến chất lượng bệnh viện
- “Tuổi trẻ ngành Y tế Việt Nam tăng cường bảo vệ, chăm sóc và nâng cao sức khỏe nhân dân”
- Chế độ ăn cải thiện sức khỏe tim mạch
- Ra quân khám sức khỏe định kỳ, khám sàng lọc miễn phí cho người dân
- Thúc đẩy các bệnh viện, trung tâm y tế khu vực Hậu Giang nâng cao chất lượng
- Can thiệp 2 trong 1 lấy sỏi mật cho cụ bà 71 tuổi nhiều bệnh nền
-
TP Cần Thơ: Từ ngày 1 đến 7-6, đưa trẻ đến trạm y tế uống vitamin A
-
Ngày Thế giới không thuốc lá: Chất độc núp bóng
-
Những đối tượng nguy cơ cao bị thiếu máu
-
Triển khai Chiến dịch bổ sung vitamin A trên toàn quốc, bắt đầu từ tháng 6
-
Ra mắt nền tảng “Tủ thuốc gia đình” phổ biến tri thức đông y đến cộng đồng
- đặt áo đồng phục giá xưởng
- Công ty may đồng phục y tế uy tín


